Viêm phế quản mạn tính
https://www.benhvienthongminh.com Viêm phế quản mạn tính là thuật ngữ thường sử dụng trong thập kỷ trước, nhằm để chỉ những trường hợp có tình trạng viêm đường hô hấp mạn tính, tuy nhiên, sau khi xuất hiện thuật ngữ bệnh phổi tắc nghẽn mạn tính thì thuật ngữ viêm phế quản mạn tính ít được dùng hơn, và hiện nay chỉ được dùng hạn chế cho những trường hợp đã loại trừ hết các căn nguyên gây ho kéo dài như: bệnh phổi tắc nghẽn mạn tính, hen phế quản, giãn phế quản, viêm phổi kẽ, trào ngược dạ dày, thực quản … Tổn thương trong viêm phế quản mạn tính chủ yếu khu trú ở niêm mạc đường thở. Bệnh thường khởi phát do các đợt nhiễm trùng đường hô hấp, gây viêm, phù nề, tăng tiết và thắt hẹp đường thở. Khi không được điều trị phù hợp, hoặc các đợt nhiễm trùng đường hô hấp tái đi, tái lại nhiều lần, khi đó bệnh phát triển thành viêm phế quản mạn tính. Triệu chứng lâm sàng Khi một người có các biểu hiện lâm sàng sau đây thì có thể hướng tới viêm phế quản mạn tính: - Ho kéo dài: thường ho thúng thắng, hoặc thành cơn, biểu hiện bệnh thường nặng lên sau những đợt nhiễm trùng đường hô hấp, hoặc khi có thay đổi thời tiết, khi trời lạnh, tiếp xúc khói, bụi .. - Khạc đờm kéo dài, đờm thường có màu trắng, trong những trường hợp có bội nhiễm do vi khuẩn: đờm thường có màu vàng, hoặc màu xanh; - Ít gặp sốt trong diễn biến thông thường của viêm phế quản mạn. Biểu hiện này thường gặp hơn khi bệnh nhân viêm phế quản mạn bị cúm, hoặc có những đợt cấp tính nặng do vi khuẩn. - Khó thở: cũng là biểu hiện ít gặp trong viêm phế quản mạn. Nếu bệnh nhân có biểu hiện khó thở thì thường cần tìm bằng chứng chẩn đoán bệnh phổi tắc nghẽn mạn tính, hen phế quản, hoặc bệnh nhân có viêm phế quản mạn, nhưng kèm căn nguyên khác gây khó thở như: suy tim… - Mệt mỏi: người bệnh thường than phiền mệt mỏi, tuy nhiên, ít khi gặp biểu hiện gầy sút cân. Các biểu hiện bệnh nêu trên thường xuất hiện tái đi, tái lại nhiều lần, việc điều trị mỗi đợt thường kéo dài. Các bác sỹ thường không nghi nhận dấu hiệu bất thường rõ rệt trên khi tiến hành khám bệnh cho những người có viêm phế quản mạn tính. Các biểu hiện cận lâm sàng: Trước khi chẩn đoán viêm phế quản mạn tính, các bác sỹ thường chỉ định làm một số xét nghiệm sau để loại trừ các chẩn đoán: - Chụp X quang phổi: thường không nghi nhận dấu hiệu bất thường rõ rệt trên phim chụp X quang phổi. Có thể thấy một số dấu hiệu dày tổ chức kẽ phế quản xung quanh các mạch máu, phế quản, khi đó trên kết quả X quang phổi thường được ghi nhận dấu hiệu: “phổi bẩn”. Việc chụp X quang phổi là rất cần thiết giúp loại trừ các căn nguyên ho kéo dài do các bệnh có tổn thương ở nhu mô phổi (lao phổi, ung thư phổi, viêm phổi kẽ …) hoặc các bệnh lý phế quản như giãn phế quản … - Đo chức năng thông khí phổi: là thăm dò quan trọng giúp phân biệt chẩn đoán viêm phế quản mạn tính. Những trường hợp ho kéo dài, không có tổn thương nhu mô phổi, sau khi loại trừ hết các căn nguyên gây ho khác. Nếu kết quả đo chức năng thông khí phổi bình thường: bệnh nhân được chẩn đoán viêm phế quản mạn; trong khi nếu thấy hình ảnh rối loạn thông khí tắc nghẽn: bệnh nhân được chẩn đoán bệnh phổi tắc nghẽn mạn tính; - Nội soi tai mũi họng, nội soi dạ dày: là những thăm dò cần thiết giúp loại trừ các nguyên nhân gây ho kéo dài như viêm xoang, viêm mũi họng, trào ngược dạ dày – thực quản; Chẩn đoán xác định viêm phế quản mạn tính: Bệnh nhân được chẩn đoán viêm phế quản mạn tính khi có đầy đủ các biểu hiện sau: - Bệnh nhân có ho, khạc đờm kéo dài ít nhất 3 tháng mỗi năm, và kéo dài liên tiếp trong ít nhất 2 năm; - Kết quả đo chức năng thông khí phổi: bình thường; - X quang phổi: không thấy hình ảnh tổn thương của các bệnh lý khác; - Kết quả nội soi tai mũi họng, nội soi dạ dày: bình thường. Như vậy, có thể thấy, nhìn chung chẩn đoán viêm phế quản mạn tính hiện nay khá ít gặp, mà chủ yếu là các chẩn đoán khác như bệnh phổi tắc nghẽn mạn tính, hen phế quản, giãn phế quản … Điều trị viêm phế quản mạn tính Tránh yếu tố nguy cơ có thể gây bùng phát các đợt cấp của bệnh: các bệnh nhân có bệnh viêm phế quản mạn tính cần tránh các yếu tố sau: Không hút thuốc, tránh tiếp xúc khói thuốc, khói bếp, các môi trường nhiều khói, bụi … Tránh lạnh, ẩm; trong những điều kiện buộc phải ra ngoài môi trường lạnh, ẩm thì nên quấn khăn kín cổ, đeo khẩu trang; Tránh gió lùa trong nhà; Nên tiêm vaccin phòng cúm hàng năm. Thời gian tiêm tốt nhất là vào tháng 9 hàng năm. Việc tiêm vaccin phòng cúm giúp giảm đáng kể tần xuất các đợt cấp của bệnh; Cũng có thể dùng các sản phẩm thay thế vaccin phòng cúm như các chế phẩm vi khuẩn đông khô, dùng thường xuyên giúp tạo kháng thể ngăn ngừa nhiễm một số chủng vi khuẩn gây các đợt nhiễm trùng đường hô hấp. Dùng kháng sinh: Cân nhắc dùng kháng sinh trong điều trị viêm phế quản mạn khi có những đợt cấp, bệnh nhân có khạc đờm màu vàng, màu xanh, hoặc đờm mủ (đây là những trường hợp bệnh nhân có đợt cấp thường do căn nguyên vi khuẩn) Các kháng sinh thường được ưu tiên dùng bao gồm: (1) Kháng sinh nhóm amoxillin; (2) Kháng sinh nhóm cephalosprin thế hệ I, thế hệ II, thế hệ III; (3) Kháng sinh nhóm macrolide; (4) Kháng sinh nhóm quinolone; (5) Dạng kết hợp amoxillin/ acid clavunalic Thời gian dùng kháng sinh: thường kéo dài 7-10 ngày Phòng bệnh: Để tránh mắc viêm phế quản mạn tính, cần thực hiện các biện pháp sau: - Không hút thuốc, tránh tiếp xúc khói thuốc, bụi nghề nghiệp; - Tránh lạnh, ẩm; - Điều trị sớm và triệt để các đợt nhiễm trùng đường hô hấp; - Vệ sinh răng, miệng thường xuyên Theo tài liệu của TS. Nguyễn Thanh Hồi - Giám đốc Bệnh viện đa khoa quốc tế Hải Phòng - Giảng viên bộ môn Nội - Trường Đại học Y Dược Hải Phòng. Kết luận: Khi có ho là bạn đã bắt đầu giai đoạn của bẹnh phổi, ít hay nhiều cũng gây tổn thương và tắc nghẽn phổi. Nếu chế độ tập luyện thể thao và ăn uống đúng cách bạn sẽ vượt qua và phổi lại trở về trạng thái bình thường. Nhưng ho kéo dài và trong một năm bạn bị ho 3 lần trở lên là xem như bạn khó phục hồi chức năng phổi. lúc này chưa biểu hiện nặng và Bác sỹ thường cho bạn uống thuốc để vượt qua, nhưng cái vấn đề vẫn nằm trong phổi chưa giải quyết tận gốc. Rồi càng ngày bạn sẽ thấy sức khỏe mình không tốt nữa, nhiều bệnh khác cứ lâu lâu xuất hiện kèm theo ho. Hãy nhanh chóng đến benhvienthongminh.com để được giải quyết gấp và được kiểm tra phổi xem có bị đóng bụi và ngẹt không, có bị vi khuẩn ăn mòn lá phổi không.... Nếu bạn để lâu sức khỏe bạn càng suy yếu, đừng chủ quan vì bạn nghĩ rằng không sao đâu, uống vài viên thuốc vài ngày sẽ khỏi. Bẹnh phổi rất nhiều nguyên nhân và rất nhiều bẹnh liên quan đến phổi, chỉ có chúng tôi mới giúp bạn giải quyết được vấn đề triệt để và lấy lại sức khỏe cho bạn. Hãy lựa chọn thông minh để có sức khỏe tuyệt hảo.

https://www.benhvienthongminh.com
Viêm phế quản mạn tính là thuật ngữ thường sử dụng trong thập kỷ trước, nhằm để chỉ những trường hợp có tình trạng viêm đường hô hấp mạn tính, tuy nhiên, sau khi xuất hiện thuật ngữ bệnh phổi tắc nghẽn mạn tính thì thuật ngữ viêm phế quản mạn tính ít được dùng hơn, và hiện nay chỉ được dùng hạn chế cho những trường hợp đã loại trừ hết các căn nguyên gây ho kéo dài như: bệnh phổi tắc nghẽn mạn tính, hen phế quản, giãn phế quản, viêm phổi kẽ, trào ngược dạ dày, thực quản …

Tổn thương trong viêm phế quản mạn tính chủ yếu khu trú ở niêm mạc đường thở. Bệnh thường khởi phát do các đợt nhiễm trùng đường hô hấp, gây viêm, phù nề, tăng tiết và thắt hẹp đường thở. Khi không được điều trị phù hợp, hoặc các đợt nhiễm trùng đường hô hấp tái đi, tái lại nhiều lần, khi đó bệnh phát triển thành viêm phế quản mạn tính.
Triệu chứng lâm sàng
Khi một người có các biểu hiện lâm sàng sau đây thì có thể hướng tới viêm phế quản mạn tính:
- Ho kéo dài: thường ho thúng thắng, hoặc thành cơn, biểu hiện bệnh thường nặng lên sau những đợt nhiễm trùng đường hô hấp, hoặc khi có thay đổi thời tiết, khi trời lạnh, tiếp xúc khói, bụi ..
- Khạc đờm kéo dài, đờm thường có màu trắng, trong những trường hợp có bội nhiễm do vi khuẩn: đờm thường có màu vàng, hoặc màu xanh;
- Ít gặp sốt trong diễn biến thông thường của viêm phế quản mạn. Biểu hiện này thường gặp hơn khi bệnh nhân viêm phế quản mạn bị cúm, hoặc có những đợt cấp tính nặng do vi khuẩn.
- Khó thở: cũng là biểu hiện ít gặp trong viêm phế quản mạn. Nếu bệnh nhân có biểu hiện khó thở thì thường cần tìm bằng chứng chẩn đoán bệnh phổi tắc nghẽn mạn tính, hen phế quản, hoặc bệnh nhân có viêm phế quản mạn, nhưng kèm căn nguyên khác gây khó thở như: suy tim…

- Mệt mỏi: người bệnh thường than phiền mệt mỏi, tuy nhiên, ít khi gặp biểu hiện gầy sút cân. Các biểu hiện bệnh nêu trên thường xuất hiện tái đi, tái lại nhiều lần, việc điều trị mỗi đợt thường kéo dài.
Các bác sỹ thường không nghi nhận dấu hiệu bất thường rõ rệt trên khi tiến hành khám bệnh cho những người có viêm phế quản mạn tính.
Các biểu hiện cận lâm sàng:
Trước khi chẩn đoán viêm phế quản mạn tính, các bác sỹ thường chỉ định làm một số xét nghiệm sau để loại trừ các chẩn đoán:
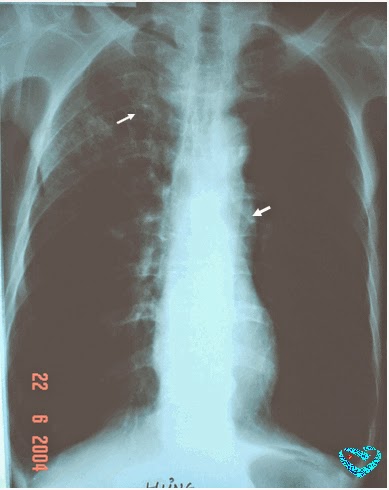
- Chụp X quang phổi: thường không nghi nhận dấu hiệu bất thường rõ rệt trên phim chụp X quang phổi. Có thể thấy một số dấu hiệu dày tổ chức kẽ phế quản xung quanh các mạch máu, phế quản, khi đó trên kết quả X quang phổi thường được ghi nhận dấu hiệu: “phổi bẩn”. Việc chụp X quang phổi là rất cần thiết giúp loại trừ các căn nguyên ho kéo dài do các bệnh có tổn thương ở nhu mô phổi (lao phổi, ung thư phổi, viêm phổi kẽ …) hoặc các bệnh lý phế quản như giãn phế quản …

- Đo chức năng thông khí phổi: là thăm dò quan trọng giúp phân biệt chẩn đoán viêm phế quản mạn tính. Những trường hợp ho kéo dài, không có tổn thương nhu mô phổi, sau khi loại trừ hết các căn nguyên gây ho khác. Nếu kết quả đo chức năng thông khí phổi bình thường: bệnh nhân được chẩn đoán viêm phế quản mạn; trong khi nếu thấy hình ảnh rối loạn thông khí tắc nghẽn: bệnh nhân được chẩn đoán bệnh phổi tắc nghẽn mạn tính;
- Nội soi tai mũi họng, nội soi dạ dày: là những thăm dò cần thiết giúp loại trừ các nguyên nhân gây ho kéo dài như viêm xoang, viêm mũi họng, trào ngược dạ dày – thực quản;
Chẩn đoán xác định viêm phế quản mạn tính:
Bệnh nhân được chẩn đoán viêm phế quản mạn tính khi có đầy đủ các biểu hiện sau:
- Bệnh nhân có ho, khạc đờm kéo dài ít nhất 3 tháng mỗi năm, và kéo dài liên tiếp trong ít nhất 2 năm;
- Kết quả đo chức năng thông khí phổi: bình thường;
- X quang phổi: không thấy hình ảnh tổn thương của các bệnh lý khác;

- Kết quả nội soi tai mũi họng, nội soi dạ dày: bình thường.
Như vậy, có thể thấy, nhìn chung chẩn đoán viêm phế quản mạn tính hiện nay khá ít gặp, mà chủ yếu là các chẩn đoán khác như bệnh phổi tắc nghẽn mạn tính, hen phế quản, giãn phế quản …
Điều trị viêm phế quản mạn tính
Tránh yếu tố nguy cơ có thể gây bùng phát các đợt cấp của bệnh:
các bệnh nhân có bệnh viêm phế quản mạn tính cần tránh các yếu tố sau:
Không hút thuốc, tránh tiếp xúc khói thuốc, khói bếp, các môi trường nhiều khói, bụi …
Tránh lạnh, ẩm; trong những điều kiện buộc phải ra ngoài môi trường lạnh, ẩm thì nên quấn khăn kín cổ, đeo khẩu trang;
Tránh gió lùa trong nhà;

Nên tiêm vaccin phòng cúm hàng năm. Thời gian tiêm tốt nhất là vào tháng 9 hàng năm. Việc tiêm vaccin phòng cúm giúp giảm đáng kể tần xuất các đợt cấp của bệnh;
Cũng có thể dùng các sản phẩm thay thế vaccin phòng cúm như các chế phẩm vi khuẩn đông khô, dùng thường xuyên giúp tạo kháng thể ngăn ngừa nhiễm một số chủng vi khuẩn gây các đợt nhiễm trùng đường hô hấp. Dùng kháng sinh:
Cân nhắc dùng kháng sinh trong điều trị viêm phế quản mạn khi có những đợt cấp, bệnh nhân có khạc đờm màu vàng, màu xanh, hoặc đờm mủ (đây là những trường hợp bệnh nhân có đợt cấp thường do căn nguyên vi khuẩn)
Các kháng sinh thường được ưu tiên dùng bao gồm: (1) Kháng sinh nhóm amoxillin; (2) Kháng sinh nhóm cephalosprin thế hệ I, thế hệ II, thế hệ III; (3) Kháng sinh nhóm macrolide; (4) Kháng sinh nhóm quinolone; (5) Dạng kết hợp amoxillin/ acid clavunalic
Thời gian dùng kháng sinh: thường kéo dài 7-10 ngày Phòng bệnh:
Để tránh mắc viêm phế quản mạn tính, cần thực hiện các biện pháp sau:
- Không hút thuốc, tránh tiếp xúc khói thuốc, bụi nghề nghiệp;
- Tránh lạnh, ẩm;
- Điều trị sớm và triệt để các đợt nhiễm trùng đường hô hấp;
- Vệ sinh răng, miệng thường xuyên
Theo tài liệu của TS. Nguyễn Thanh Hồi - Giám đốc Bệnh viện đa khoa quốc tế Hải Phòng - Giảng viên bộ môn Nội - Trường Đại học Y Dược Hải Phòng.
Kết luận: Khi có ho là bạn đã bắt đầu giai đoạn của bẹnh phổi, ít hay nhiều cũng gây tổn thương và tắc nghẽn phổi. Nếu chế độ tập luyện thể thao và ăn uống đúng cách bạn sẽ vượt qua và phổi lại trở về trạng thái bình thường. Nhưng ho kéo dài và trong một năm bạn bị ho 3 lần trở lên là xem như bạn khó phục hồi chức năng phổi. lúc này chưa biểu hiện nặng và Bác sỹ thường cho bạn uống thuốc để vượt qua, nhưng cái vấn đề vẫn nằm trong phổi chưa giải quyết tận gốc. Rồi càng ngày bạn sẽ thấy sức khỏe mình không tốt nữa, nhiều bệnh khác cứ lâu lâu xuất hiện kèm theo ho. Hãy nhanh chóng đến benhvienthongminh.com để được giải quyết gấp và được kiểm tra phổi xem có bị đóng bụi và ngẹt không, có bị vi khuẩn ăn mòn lá phổi không.... Nếu bạn để lâu sức khỏe bạn càng suy yếu, đừng chủ quan vì bạn nghĩ rằng không sao đâu, uống vài viên thuốc vài ngày sẽ khỏi. Bẹnh phổi rất nhiều nguyên nhân và rất nhiều bẹnh liên quan đến phổi, chỉ có chúng tôi mới giúp bạn giải quyết được vấn đề triệt để và lấy lại sức khỏe cho bạn. Hãy lựa chọn thông minh để có sức khỏe tuyệt hảo.
Chế độ ăn cho người viêm phổi
Uống nhiều nước
Không phải ngẫu nhiên mà uống nhiều nước trở thành một trong số những biện pháp được đặt lên hàng đầu. Bởi vì uống nhiều nước giúp cho cơ thể đào thải những chất độc hại, giúp cho phổi sạch sẽ và khỏe mạnh hơn.
Uống nước trà xanh
Trà xanh không những có tác dụng làm giảm đi những căng thẳng mệt mỏi mà trong thành phần của trà xanh có chứa những chất chống oxy hóa và chất này có tác dụng tích cực đối với người bị viêm phổi.
Và chất chống oxy hóa có tác dụng ngăn ngừa một số bệnh ung thư, trong đó có bệnh ung thư phổi.
Cà chua

Chỉ cần một ly nước ép cà chua thôi nhưng có tác dụng vô cùng lớn, đặc biệt là cà chua có tác dụng làm sạch lá phổi của bạn sau khi hút thuốc. Chính vì vậy mà bệnh nhân mắc bệnh phổi nên uống đều đặn một ly nước ép cà chua mỗi ngày nhé!
Cà chua không những có tác dụng đối với những người bệnh gan mà còn có tác dung cải thiện làn da, làm cho da dẻ xinh xắn và hồng hào hơn trông thấy.
Lựu
Lựu cũng giống như trà xanh, ẩn chứa bên trong là chất chống oxy hóa cực kỳ tốt. Chất chống oxy hóa này có tác dụng ngăn ngừa bệnh tật và dĩ nhiên là không ngoại trừ việc ngăn ngừa những bệnh liên quan đến phổi.
Vậy thì đừng quên uống một ly nước ép lựu mỗi ngày nhé!
Nghệ
Trong thành phần của nghệ có chứa curcumin và chất này có tác dụng ngăn ngừa tế bào ung thư cực tốt. Bệnh viêm phổi có thể chuyển qua bệnh ung thư phổi bất cứ khi nào cho nên nhất định không được chủ quan. Hãy phòng bệnh trước khi chữa bệnh,
Chỉ cần mỗi ngày bạn uống khoảng vài muỗng nghệ và mật ong bạn sẽ thấy có hiệu quả, không những có tác dụng ngăn ngừa ung thư mà còn có tác dụng đẹp da, giúp bạn sở hữu một làn da mịn màng.
Rau xanh

Rau xanh là một loại thực phẩm thân thiện với con người, cho nên tăng cường ăn rau xanh chính là một “thượng sách” có tác dụng thanh lọc cơ thể, giúp đào thải hết những chất độc hại bên trong cơ thể ra ngoài, nhường lại sự thanh sạch cho cơ thể.
Những thực phẩm mà bệnh nhân viêm phổi không nên đụng đến
Rượu bia và thuốc lá

Người bị viêm phổi nếu như muốn kéo dài sự sống thì nhất định phải nói không với rượu, bia và thuốc lá. Vì những thứ ngày có sức tàn phá ghê gớm đối với sức khỏe, mà cơ quan chịu ảnh hưởng nặng nhất đó chính là phổi.
Những thực phẩm nhiều dầu mỡ

Thức ăn chiên, xào nhiều dầu mỡ lúc nào cũng hấp dẫn người ăn nhưng đây cũng chính là con dao phá hoại sức khỏe của người bệnh, đặc biệt đối với những bệnh nhân bị bệnh về gan thì càng phải kiêng ăn những loại thực phẩm này.
21 Loại thực phẩm có hại cho sức khỏe của bạn
Trong cuộc sống thường ngày, có rất nhiều thực phẩm tưởng chừng vô hại nhưng nếu sử dụng sai cách thì rất dễ có hại đến sức khỏe của bạn. Dinh Dưỡng Online tổng hợp các thực phẩm có hại cho sức khỏe 10 loại thực phẩm thường ngày dễ…
Không nên ăn những thực phẩm bị đầy hơi
Một số loại nước uống có ga hoặc thức ăn có chứa nhiều dầu mỡ chính là nguyên nhân dẫn đến đầy hơi, vậy thì những bệnh nhân bị bệnh viêm gan lại càng không nên đụng đến những thực phẩm như thế này vì rất dễ làm cho tình trạng bệnh ngày càng nặng hơn.

Bên cạnh chế độ dinh dưỡng phù hợp thì chúng ta cần phải cân nhắc với chế độ luyện tập phù hợp nữa thì mới hi vọng tình trạng bệnh có những chuyển biến tích cực. Vì vậy mà đừng quên tập thể dục đều đặn mỗi ngày nhé!
Số lần xem: 70

















